5505 N. Clark Street Chicago, IL 60640
Invisalign
Our patient came to us feeling self-conscious about the spaces in his front teeth, which made him hesitant to smile freely. With a personalized Invisalign treatment plan, we closed the gaps and improved alignment within one year, enhancing both esthetics and function and leaving him thrilled with his new smile.
Invisalign
Our patient came to us with concerns about crowding in the lower teeth and the impact it was having on both function and appearance. With a customized Invisalign treatment plan, we gently aligned the teeth, improving oral health, bite function, and overall esthetics. Resulting in a healthier, more confident smile.
Invisalign
Our patient visited us hoping for a confident, straighter smile after feeling disappointed with previous orthodontic treatment. Using Invisalign, we created a personalized plan that addressed the crowding and improved the overall appearance of their front teeth.
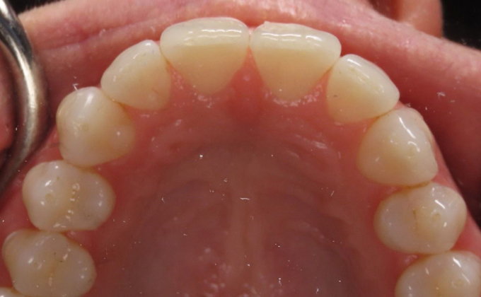
Invisalign
The patient felt self-conscious about her misaligned teeth, which affected her confidence in smiling and her overall appearance. Following Invisalign treatment, she now enjoys a beautifully aligned, wide smile and feels confident about her smile and appearance.
Invisalign
The patient was unhappy with her misaligned teeth, which made her feel self-conscious about her smile and appearance. After completing Invisalign treatment, she now has a beautifully aligned smile and feels much more confident in the way she looks.
Clear Aligners
This patient was always self-conscious of the crowding on her front top teeth, but very happy with the results of her front teeth getting ideally straightened.
Clear Aligners
Our patient came to us self-conscious about the crowding of their front teeth. They had clear alignment done in the past but did not get the results they desired. With our clear aligner treatment, we were able to straighten the front teeth and give them the smile they always wanted in just 9-12 months, they were very pleased with the results.
Clear Aligners
Transforming Smiles, One Clear Aligner at a Time! Our patient came to us self-conscious about a gap in her front teeth. With our clear aligner treatment, we were able to close the gap and give her the smile she always wanted in just 6-9 months. Witness the power of modern orthodontics and unlock your smile's full potential with us!
Clear Aligners
Transforming Smiles, One Clear Aligner at a Time! Our patient came to us self-conscious about the crowding in her front teeth. She was also concerned with the gum inflammation she was getting as a result of it being hard to floss with the crowding of her teeth. With our clear aligner treatment, we were able to straighten her teeth, give her the smile she always wanted and improve her oral health in just 6-9 months! Witness the power of modern orthodontics and unlock your smile's full potential with us!
Implant Case
Michelle struggled with missing teeth that affected her smile and confidence. With All-on-4 dental implants, we provided a full arch of secure, natural-looking teeth—restoring comfort and confidence.
All On X Implants with a Zirconia Bridge
This patient came to use wishing to be able to smile confidently and eat his favorite foods. He had numerous missing teeth and infected teeth. We were able to remove all his teeth, place implants and he left the same day with a temporary non removable bridge. 3 months later after complete healing he had this beautiful zirconia bridge made and he is ecstatic with the results.
All On X Implants with a Zirconia Bridge
This patient came to us with missing and loose teeth. He also had sleep apnea and was told he needed non removable teeth to fit a sleep appliance. We were able to remove his teeth, place implants and have him leave with a non removable bridge. 3 months after healing he had a beautiful zirconia bridge made. He is happy with the results and his overall health has improved now that he can use his sleep appliance.
All On X Implant
This patient expressed dissatisfaction with their smile due to missing teeth, which affected both functionality and aesthetics. The gaps left by the missing teeth made eating and speaking difficult, while also diminishing the overall appearance of their smile. All on X Implants provided a permanent solution by securely anchoring a full set of replacement teeth to dental implants. This procedure not only restored the patient's ability to eat and speak comfortably but also transformed their smile into one that is strong, secure, and beautiful. The patient no longer has to worry about the inconvenience and insecurity of dentures, and they are thrilled with their new, confident smile, wishing they had opted for the procedure sooner.
Anterior Implant
This is a patient of ours who lost his front tooth due to trauma and needed an implant to give him his smile back. We were able to have his implant placed and then after a couple months he was able to get his porcelain crown which matched perfectly with the rest of his teeth. He is very happy with the results and able to smile confidently and eat with his front teeth again.
Full Mouth Rehabilitation
Patient presented with worn and missing teeth, unable to chew food for years due to his teeth being worn away and was painful to eat. His main goal was having natural looking teeth that were strong so he could enjoy eating his favourite foods again. He was super happy with the result and even more impressed with esthetic appearance as that was not his main concern. He can eat comfortably now.
Single Tooth Implant
This patient came to us with a lower infected tooth. He was very anxious as it had been years since his last checkup. After meeting the team, he became comfortable with us and we were able to address his periodontal disease first. Next, we removed the infected tooth and replaced it with an implant placed by Dr. Kella. After a few months of healing, the crown for the implant was placed, completing his smile. Now, the patient is very pleased with his appearance. He smiles with pride and eats all of his favorite foods!
Implant Case
This patient came to us in search of a solution that would restore the health of his mouth and help him eat normally again. He understood his teeth were in bad condition and was ready to make a change once he felt comfortable with our proposed treatment plan. We worked with him to develop a plan that not only addressed his cosmetic and functional issues, but also stayed within his budget. We decided on a hybrid plan that would allow us to place a traditional denture on his upper arch and implant retained dentures on the lower arch. The implants provided added stability to allow him to bite and chew with confidence. He was very pleased with the results and now, is getting many compliments from his friends and family.
Smile Makeover (Crowns And Veneers)
This patient expressed dissatisfaction with the appearance of his front two teeth due to old crowns, noting issues with shape, size, color, and a developing gap. Additionally, a significant cavity affected one of the front teeth. Following the procedure, which involved crowns and veneers for the front four teeth, the patient experienced a remarkable transformation. He was thrilled with the results, saying he wished he had done it sooner.
Smile Makeover (Crowns And Veneers)
From Stained and Decaying to Symmetrical and Beautiful! Our patient had a bad gag reflex, making previous treatment difficult, but thanks to our state-of-the-art digital technology, we were able to achieve a long-lasting, symmetrical smile. Say goodbye to constant filling replacements and hello to a stunning new smile!
Veneers
Revitalizing Smiles with Natural-Looking Veneers! Our patient came to us unhappy with his veneers that were done 25 years ago, which appeared too bright and artificial due to the limited technology available at that time. With our advanced materials and techniques, we were able to provide him with a more natural-looking smile by adding veneers on each side and adjusting his bite for long-term functionality. See the difference that quality veneers can make and let us help you achieve the smile of your dreams!
Smile Makeover (Crowns And Veneers)
The patient came to Lakeshore Dental Studio looking for help with tooth discoloration. She suffered from discoloration in her upper and lower teeth, which led to a lack of confidence. This dental condition affected her whole life, and she was ready to make a change. Our dentists assessed her situation and decided to give her a smile makeover. Porcelain crowns and veneers were used, which changed her smile. She walked out of her dental office with a confident smile. She is happy with her experience at Lakeshore Dental Studio and was pleased with how Dr. Kella and his team made her feel comfortable throughout the surgeries.
Cosmetic Porcelain Crowns
This patient came to us after going years without dental care. He was experiencing a lot of tooth decay and gum issues because of lack of care. He was also looking for a dental practice where he felt comfortable and a dentist who was willing to work with him. His primary concern was his front teeth — he wanted to be able to smile confidently. After a few initial visits, he felt comfortable with our team. We were even able to work with him on a payment plan to ease his financial concerns. We are excited to report that he was very pleased with his results.
Cosmetic Bonding - Bioclear Method
This patient came to us with spacing between all his front teeth and wished to have them closed. He could not afford veneers and he did not want any drilling on his teeth. We were able to use the bioclear bonding method to non invasively close the gaps between his teeth. He was very happy with the results of the bioclear bonding.
Replacement of 4 veneers
We recently replaced four upper veneers to restore and elevate this patient’s smile. The original veneers had worn over time, so we custom-crafted new ones to improve shape, shade, and alignment—resulting in a brighter, more natural look. With careful attention to detail and advanced techniques, we ensured the veneers blended flawlessly with the patient’s existing teeth. The transformation not only enhanced aesthetics but also renewed confidence. Every smile we design is guided by precision, personalization, and a commitment to long-lasting results.
Fractured tooth from a fall; patient was seen the next day and had porcelain veneers placed.
After experiencing a fall that left her front teeth fractured, the patient reached out to us the very next day. We were able to promptly accommodate her and begin the smile restoration process without delay. We crafted and placed custom porcelain veneers to restore both the function and appearance of her smile. The result is a seamless, natural-looking transformation that blends beautifully with her existing teeth—allowing her to smile confidently again.
Smile Makeover (Crowns And Veneers)
This patient expressed dissatisfaction with the appearance of his front two teeth due to old crowns, noting issues with shape, size, color, and a developing gap. Additionally, a significant cavity affected one of the front teeth. Following the procedure, which involved crowns and veneers for the front four teeth, the patient experienced a remarkable transformation. He was thrilled with the results, saying he wished he had done it sooner.
Anterior Implant
This is a patient of ours who lost his front tooth due to trauma and needed an implant to give him his smile back. We were able to have his implant placed and then after a couple months he was able to get his porcelain crown which matched perfectly with the rest of his teeth. He is very happy with the results and able to smile confidently and eat with his front teeth again.
Smile Makeover (Crowns And Veneers)
From Stained and Decaying to Symmetrical and Beautiful! Our patient had a bad gag reflex, making previous treatment difficult, but thanks to our state-of-the-art digital technology, we were able to achieve a long-lasting, symmetrical smile. Say goodbye to constant filling replacements and hello to a stunning new smile!
Veneers
Revitalizing Smiles with Natural-Looking Veneers! Our patient came to us unhappy with his veneers that were done 25 years ago, which appeared too bright and artificial due to the limited technology available at that time. With our advanced materials and techniques, we were able to provide him with a more natural-looking smile by adding veneers on each side and adjusting his bite for long-term functionality. See the difference that quality veneers can make and let us help you achieve the smile of your dreams!
Smile Makeover (Crowns And Veneers)
The patient came to Lakeshore Dental Studio looking for help with tooth discoloration. She suffered from discoloration in her upper and lower teeth, which led to a lack of confidence. This dental condition affected her whole life, and she was ready to make a change. Our dentists assessed her situation and decided to give her a smile makeover. Porcelain crowns and veneers were used, which changed her smile. She walked out of her dental office with a confident smile. She is happy with her experience at Lakeshore Dental Studio and was pleased with how Dr. Kella and his team made her feel comfortable throughout the surgeries.
Full Mouth Rehabilitation
Patient presented with worn and missing teeth, unable to chew food for years due to his teeth being worn away and was painful to eat. His main goal was having natural looking teeth that were strong so he could enjoy eating his favourite foods again. He was super happy with the result and even more impressed with esthetic appearance as that was not his main concern. He can eat comfortably now.
Single Tooth Implant
This patient came to us with a lower infected tooth. He was very anxious as it had been years since his last checkup. After meeting the team, he became comfortable with us and we were able to address his periodontal disease first. Next, we removed the infected tooth and replaced it with an implant placed by Dr. Kella. After a few months of healing, the crown for the implant was placed, completing his smile. Now, the patient is very pleased with his appearance. He smiles with pride and eats all of his favorite foods!
Implant Case
This patient came to us in search of a solution that would restore the health of his mouth and help him eat normally again. He understood his teeth were in bad condition and was ready to make a change once he felt comfortable with our proposed treatment plan. We worked with him to develop a plan that not only addressed his cosmetic and functional issues, but also stayed within his budget. We decided on a hybrid plan that would allow us to place a traditional denture on his upper arch and implant retained dentures on the lower arch. The implants provided added stability to allow him to bite and chew with confidence. He was very pleased with the results and now, is getting many compliments from his friends and family.
Cosmetic Porcelain Crowns
This patient came to us after going years without dental care. He was experiencing a lot of tooth decay and gum issues because of lack of care. He was also looking for a dental practice where he felt comfortable and a dentist who was willing to work with him. His primary concern was his front teeth — he wanted to be able to smile confidently. After a few initial visits, he felt comfortable with our team. We were even able to work with him on a payment plan to ease his financial concerns. We are excited to report that he was very pleased with his results.
Cosmetic Bonding - Bioclear Method
This patient came to us with spacing between all his front teeth and wished to have them closed. He could not afford veneers and he did not want any drilling on his teeth. We were able to use the bioclear bonding method to non invasively close the gaps between his teeth. He was very happy with the results of the bioclear bonding.
Replacement of 4 veneers
We recently replaced four upper veneers to restore and elevate this patient’s smile. The original veneers had worn over time, so we custom-crafted new ones to improve shape, shade, and alignment—resulting in a brighter, more natural look.
With careful attention to detail and advanced techniques, we ensured the veneers blended flawlessly with the patient’s existing teeth. The transformation not only enhanced aesthetics but also renewed confidence.
Every smile we design is guided by precision, personalization, and a commitment to long-lasting results.
Fractured tooth from a fall; patient was seen the next day and had porcelain veneers placed.
After experiencing a fall that left her front teeth fractured, the patient reached out to us the very next day. We were able to promptly accommodate her and begin the smile restoration process without delay.
We crafted and placed custom porcelain veneers to restore both the function and appearance of her smile. The result is a seamless, natural-looking transformation that blends beautifully with her existing teeth—allowing her to smile confidently again.
Invisalign
The patient felt self-conscious about her misaligned teeth, which affected her confidence in smiling and her overall appearance. Following Invisalign treatment, she now enjoys a beautifully aligned, wide smile and feels confident about her smile and appearance.
Invisalign
The patient was unhappy with her misaligned teeth, which made her feel self-conscious about her smile and appearance. After completing Invisalign treatment, she now has a beautifully aligned smile and feels much more confident in the way she looks.
Smile Makeover (Crowns And Veneers)
This patient expressed dissatisfaction with the appearance of his front two teeth due to old crowns, noting issues with shape, size, color, and a developing gap. Additionally, a significant cavity affected one of the front teeth. Following the procedure, which involved crowns and veneers for the front four teeth, the patient experienced a remarkable transformation. He was thrilled with the results, saying he wished he had done it sooner.
All On X Implants with a Zirconia Bridge
This patient came to use wishing to be able to smile confidently and eat his favorite foods. He had numerous missing teeth and infected teeth. We were able to remove all his teeth, place implants and he left the same day with a temporary non removable bridge. 3 months later after complete healing he had this beautiful zirconia bridge made and he is ecstatic with the results.
All On X Implants with a Zirconia Bridge
This patient came to us with missing and loose teeth. He also had sleep apnea and was told he needed non removable teeth to fit a sleep appliance. We were able to remove his teeth, place implants and have him leave with a non removable bridge. 3 months after healing he had a beautiful zirconia bridge made. He is happy with the results and his overall health has improved now that he can use his sleep appliance.
All On X Implant
This patient expressed dissatisfaction with their smile due to missing teeth, which affected both functionality and aesthetics. The gaps left by the missing teeth made eating and speaking difficult, while also diminishing the overall appearance of their smile. All on X Implants provided a permanent solution by securely anchoring a full set of replacement teeth to dental implants. This procedure not only restored the patient's ability to eat and speak comfortably but also transformed their smile into one that is strong, secure, and beautiful. The patient no longer has to worry about the inconvenience and insecurity of dentures, and they are thrilled with their new, confident smile, wishing they had opted for the procedure sooner.
Clear Aligners
This patient was always self-conscious of the crowding on her front top teeth, but very happy with the results of her front teeth getting ideally straightened.
Anterior Implant
This is a patient of ours who lost his front tooth due to trauma and needed an implant to give him his smile back. We were able to have his implant placed and then after a couple months he was able to get his porcelain crown which matched perfectly with the rest of his teeth. He is very happy with the results and able to smile confidently and eat with his front teeth again.
Clear Aligners
Our patient came to us self-conscious about the crowding of their front teeth. They had clear alignment done in the past but did not get the results they desired. With our clear aligner treatment, we were able to straighten the front teeth and give them the smile they always wanted in just 9-12 months, they were very pleased with the results.
Smile Makeover (Crowns And Veneers)
From Stained and Decaying to Symmetrical and Beautiful! Our patient had a bad gag reflex, making previous treatment difficult, but thanks to our state-of-the-art digital technology, we were able to achieve a long-lasting, symmetrical smile. Say goodbye to constant filling replacements and hello to a stunning new smile!
Clear Aligners
Transforming Smiles, One Clear Aligner at a Time! Our patient came to us self-conscious about a gap in her front teeth. With our clear aligner treatment, we were able to close the gap and give her the smile she always wanted in just 6-9 months. Witness the power of modern orthodontics and unlock your smile's full potential with us!
Veneers
Revitalizing Smiles with Natural-Looking Veneers! Our patient came to us unhappy with his veneers that were done 25 years ago, which appeared too bright and artificial due to the limited technology available at that time. With our advanced materials and techniques, we were able to provide him with a more natural-looking smile by adding veneers on each side and adjusting his bite for long-term functionality. See the difference that quality veneers can make and let us help you achieve the smile of your dreams!
Smile Makeover (Crowns And Veneers)
The patient came to Lakeshore Dental Studio looking for help with tooth discoloration. She suffered from discoloration in her upper and lower teeth, which led to a lack of confidence. This dental condition affected her whole life, and she was ready to make a change. Our dentists assessed her situation and decided to give her a smile makeover. Porcelain crowns and veneers were used, which changed her smile. She walked out of her dental office with a confident smile. She is happy with her experience at Lakeshore Dental Studio and was pleased with how Dr. Kella and his team made her feel comfortable throughout the surgeries.
Full Mouth Rehabilitation
Patient presented with worn and missing teeth, unable to chew food for years due to his teeth being worn away and was painful to eat. His main goal was having natural looking teeth that were strong so he could enjoy eating his favourite foods again. He was super happy with the result and even more impressed with esthetic appearance as that was not his main concern. He can eat comfortably now.
Single Tooth Implant
This patient came to us with a lower infected tooth. He was very anxious as it had been years since his last checkup. After meeting the team, he became comfortable with us and we were able to address his periodontal disease first. Next, we removed the infected tooth and replaced it with an implant placed by Dr. Kella. After a few months of healing, the crown for the implant was placed, completing his smile. Now, the patient is very pleased with his appearance. He smiles with pride and eats all of his favorite foods!
Implant Case
This patient came to us in search of a solution that would restore the health of his mouth and help him eat normally again. He understood his teeth were in bad condition and was ready to make a change once he felt comfortable with our proposed treatment plan. We worked with him to develop a plan that not only addressed his cosmetic and functional issues, but also stayed within his budget. We decided on a hybrid plan that would allow us to place a traditional denture on his upper arch and implant retained dentures on the lower arch. The implants provided added stability to allow him to bite and chew with confidence. He was very pleased with the results and now, is getting many compliments from his friends and family.
Cosmetic Porcelain Crowns
This patient came to us after going years without dental care. He was experiencing a lot of tooth decay and gum issues because of lack of care. He was also looking for a dental practice where he felt comfortable and a dentist who was willing to work with him. His primary concern was his front teeth — he wanted to be able to smile confidently. After a few initial visits, he felt comfortable with our team. We were even able to work with him on a payment plan to ease his financial concerns. We are excited to report that he was very pleased with his results.
Cosmetic Bonding - Bioclear Method
This patient came to us with spacing between all his front teeth and wished to have them closed. He could not afford veneers and he did not want any drilling on his teeth. We were able to use the bioclear bonding method to non invasively close the gaps between his teeth. He was very happy with the results of the bioclear bonding.
Clear Aligners
Transforming Smiles, One Clear Aligner at a Time! Our patient came to us self-conscious about the crowding in her front teeth. She was also concerned with the gum inflammation she was getting as a result of it being hard to floss with the crowding of her teeth. With our clear aligner treatment, we were able to straighten her teeth, give her the smile she always wanted and improve her oral health in just 6-9 months! Witness the power of modern orthodontics and unlock your smile's full potential with us!
Replacement of 4 veneers
We recently replaced four upper veneers to restore and elevate this patient’s smile. The original veneers had worn over time, so we custom-crafted new ones to improve shape, shade, and alignment—resulting in a brighter, more natural look.
With careful attention to detail and advanced techniques, we ensured the veneers blended flawlessly with the patient’s existing teeth. The transformation not only enhanced aesthetics but also renewed confidence.
Every smile we design is guided by precision, personalization, and a commitment to long-lasting results.
Fractured tooth from a fall; patient was seen the next day and had porcelain veneers placed.
After experiencing a fall that left her front teeth fractured, the patient reached out to us the very next day. We were able to promptly accommodate her and begin the smile restoration process without delay.
We crafted and placed custom porcelain veneers to restore both the function and appearance of her smile. The result is a seamless, natural-looking transformation that blends beautifully with her existing teeth—allowing her to smile confidently again.









